
Подробнее
Минимальная сумма заказа 10 000р (В ассортименте).
iTClamp - это устройство для остановки кровотечений, которое можно использовать на конечностях, в подмышечной и паховой области, на голове и шее. Устройство закрывает края раны, чтобы минимизировать дальнейшую потерю крови до тех пор, пока не будет осуществлено хирургическое вмешательство. Исследования показали, что iTClamp превосходит другие средства обработки ран и показывает отличные результаты относительно выживаемости пациентов, продления времени жизни и сокращения общей кровопотери. Устройство устанавливается за считанные секунды и причиняет пациенту минимальную боль, что делает его идеальным для оказания неотложной медицинской помощи.
Американский "Журнал Медицинских Исследований И Разработок" опубликовал медицинскую статью о применениях инновационного продукта под названием iTClamp.
Кровотечение является основной причиной смертности в зонах боевых действий. Доктор Деннис Филипс, хирург травматолог военно-морского флота США, часто сталкивался с кровотечениями во время боевых действий США в Афганистане.
Вдохновленный простой заколкой для волос, Филипс разработал новое медицинское оборудование, названное ITClamp, которое представляет из себя пластиковый зажим около 5 сантиметров в длинну с изогнутыми иглами по краям. ITClamp легко и быстро останавливает даже сильные кровотечения, позволяя продолжить оказывать больному дальнейшую медицинскую помощь.
ITClamp - это новая технология в медицине, которая может быть применена в течении нескольких секунд, а также может использоваться лицами не имеющими специального медицинского образования.
Статья: "ЗАПОЛНЯЯ ПРОБЕЛЫ: НОВЫЙ СПОСОБ КОНТРОЛЯ КРОВОТЕЧЕНИЙ"
Введение
"В шее расположены шесть жизненно важных структур, обеспечивающих пищеварительную, нервную, эндокринную и циркуляторную функции, в отличие от других частей тела они минимально защищены скелетной системой. Недостаток защиты шейного отдела не только способствует возникновению тошноты во время лечения, но также часто приводит к осложнениям и летальному исходу при травмах. Открытие дыхательных путей и удаление крови являются важными задачами, а в условиях ограниченного времени врачу часто приходится выбирать одну из них в ущерб другой. Быстрый контроль кровотечения обеспечивает время, необходимое для обеспечения доступа к воздуху без дальнейшей кровопотери из уже истощенной сосудистой системы. Задержки в установлении контроля над дыхательными путями делают задачу контроля за дыхательными путями сложной или даже невозможной, потому что образование гематомы или травмы/отека приводит к последующей катастрофической обструкции дыхательных путей. Критические решения в травматологии Западной ассоциации травматологов (WTA) при проникающих ранах шеи рекомендуют в первую очередь использовать прямое ручное давление (ПРД). Однако, этот подход показал низкую эффективность из-за случаев повторных кровотечений и потери крови до оказания должного медицинского ухода."
Отчеты о случаях
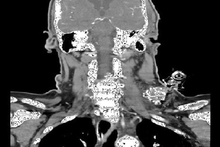
"Во второй половине 2016 года в Травмпункт Купер в Камдене, Нью-Джерси, США, поступила 44-летняя женщина с 25 проникающими ранениями в область груди и шеи. Когда пациентка поступила в больницу, она была без сознания, систолическое кровяное давление держалось на отметке 70. Пациентка была быстро осмотрена, было сделано переливание 4 единиц красных кровяных телец и 6 единиц свежей замороженной плазмы. Во время осмотра терапевты обнаружили два ранения в нижней части шеи в одном сантиметре над ключицей, кровотечение из этих ранений было неконтролируемым. Ранение было перевязано бинтом Combat Gauze, но бинт сразу же пропитался кровью. Пропитанный кровью бинт был удален и на оба ранения было помещено одно устройство iTClamp. Терапевты заметили, что кровь протекала и вокруг устройства. iTClamp было удалено, раны перевязали бинтом, а затем снова использовали iTClamp для изоляции раны. Врачи отметили, что сочетание бинта и iTClamp позволило им уменьшить площадь раны и закрыть кожу, что привело к хорошему гемостазу (рисунок 1). Все действия по остановке кровотечения заняли меньше двух минут, а сочетание материалов позволило врачам запечатать обе опасные раны. Состояние пациентки стабилизировалось, она была отправлена на компьютерную томографию для дальнейшего обследования. Возможность выполнить компьютерную томографию до оперативного вмешательства позволила хирургу оценить потенциальные зоны кровотечения и определить, откуда начинать хирургическое исследование 25 ран. Не было отмечено практически никакого рассеяния (за исключением небольшого рассеяние от шовных игл) и даже меньше, чем рассеяние от скоб (рисунки 2 и 3). После подтверждения отсутствия артериального кровотечения врачи сконцентрировались на ранах и переместили пациентку в операционную. Хирурги смогли провести подготовку к операции с зафиксированным устройством и сняли iTClamp перед началом хирургического исследования. Хирурги открыли близкие к ключице раны и исследовали их вглубь до ключицы, чтобы перевязать первую ветвь подключичной вены."
Рисунок 1
Обсуждение
"Проникающие ранения шеи часто являются причиной летального исхода и осложнений, поэтому своевременная и корректная обработка таких ранений невероятно важна – в том числе и выполнение таких дополнительных мер, как компьютерная томография. ПРД рекомендуется как первая мера по обработке проникающих ранений шеи, но оно показывает низкую эффективность. Низкая эффективность ПРД связана не только с местом оказания первой помощи и минимальной квалификацией оказывающих ее лиц, но также с необходимыми для выполнения этой задачи навыками. Данный отчет о случае также доказывает низкую эффективность ПРД, так как одной повязки на ранах было недостаточно для контроля кровотечения, даже если помощь оказывают опытные врачи в городском травмпункте.
Рисунок 2
Другим интересным моментом, который заслуживает дальнейшего обсуждения, является тот факт, что компьютерная томография показала очень небольшое количество линейных артефактов или рассеяния от устройства iTClamp. Проблема линейных артефактов от металлических структур или скоб не нова, и хотя существуют программы для коррекции этой проблемы, они могут быть не всегда доступны, или же увеличение жесткости излучения до показателей выше среднего делают коррекцию невозможной.
Одним из способов решения этой проблемы является итерационная реконструкция, однако, если металл блокирует все фотоны, информация из мягких тканей не может быть запрошена с коррекцией рассеяния. Несмотря на то, что в iTClamp есть восемь металлических игл, доктор в отчете о случае заметил, что практически никакого рассеяния не было обнаружено, и рассеяние было даже меньше, чем от скоб. Это информация определенно гарантирует будущие обсуждения и исследования, так как возможность быстро останавливать кровотечение и поддерживать целостность компьютерной томографии имеет преимущества, особенно в обработке ран, где время имеет огромное значение.
Рисунок 3
В литературе было показано, что iTClamp может контролировать кровотечения в любой зоне, поддающейся давлению. Данный отчет добавляет доказательств этого мнения и показывает, что iTClamp может служить прекрасным дополнением к ПРД или перевязке раны и помогает контролировать кровотечение при повреждении соединительных тканей и проникающих ранах шеи, особенно в сочетании с перевязкой. Однако, как и во всех случаях контроля кровотечения в области шеи, рекомендуется постоянно следить за состоянием пациента и возможностью возникновения гематом, отеков и проблем дыхательных путей. И хотя в данном случае не было замечено проблем с дыхательными путями, рекомендуется, чтобы при применении iTClamp врачи отслеживали дыхательные пути с такой же внимательностью, что и при применении ПРД."
Вывод
"Кровотечения становятся причиной 50% смертей в случае проникающего ранения в область шеи, и помощь с применением ПРД показывает свою низкую эффективность. Данный отчет о деле предполагает, что устройство iTClamp может считаться альтернативой или дополнением к ПРД/перевязке для контроля потери крови от соединительных повреждений при проникающих ранений в область шеи."
Характеристики
Габариты и вес
Нет вопросов об этом товаре.